皇冠信用登2代理_【前沿进展】rOC43-CoV2 S:一种用于SARS-CoV-2中和试验的BSL-2代理病毒
新2足球网址(www.huangguan.hk)为您提供最新登1登2登3代理网址,包括新2登1登2登3代理手机网址,新2登1登2登3代理备用网址,皇冠登1登2登3代理最新网址,2024年5月24日,《sPNAS》杂志上发表了一篇题为“Recombinant OC43 SARS-CoV-2 spike replacement virus: An improved BSL-2 proxy virus for SARS-CoV-2 neutralization assays”的研究论文皇冠信用登2代理。本研究构建了一种重组的人OC43病毒(rOC43-CoV2 S),其天然的spike糖蛋白替换成SARS-CoV-2 spike。该病毒由于其在培养细胞和动物中的高度减毒而被指定为生物安全性2级。rOC43-CoV 2 S是一种改进的替代病毒,用于评估中和抗体,同时也是一种减毒活COVID粘膜候选疫苗,在小鼠和恒河猴中激发强烈的体液和粘膜抗体反应。

主要研究结果如下:
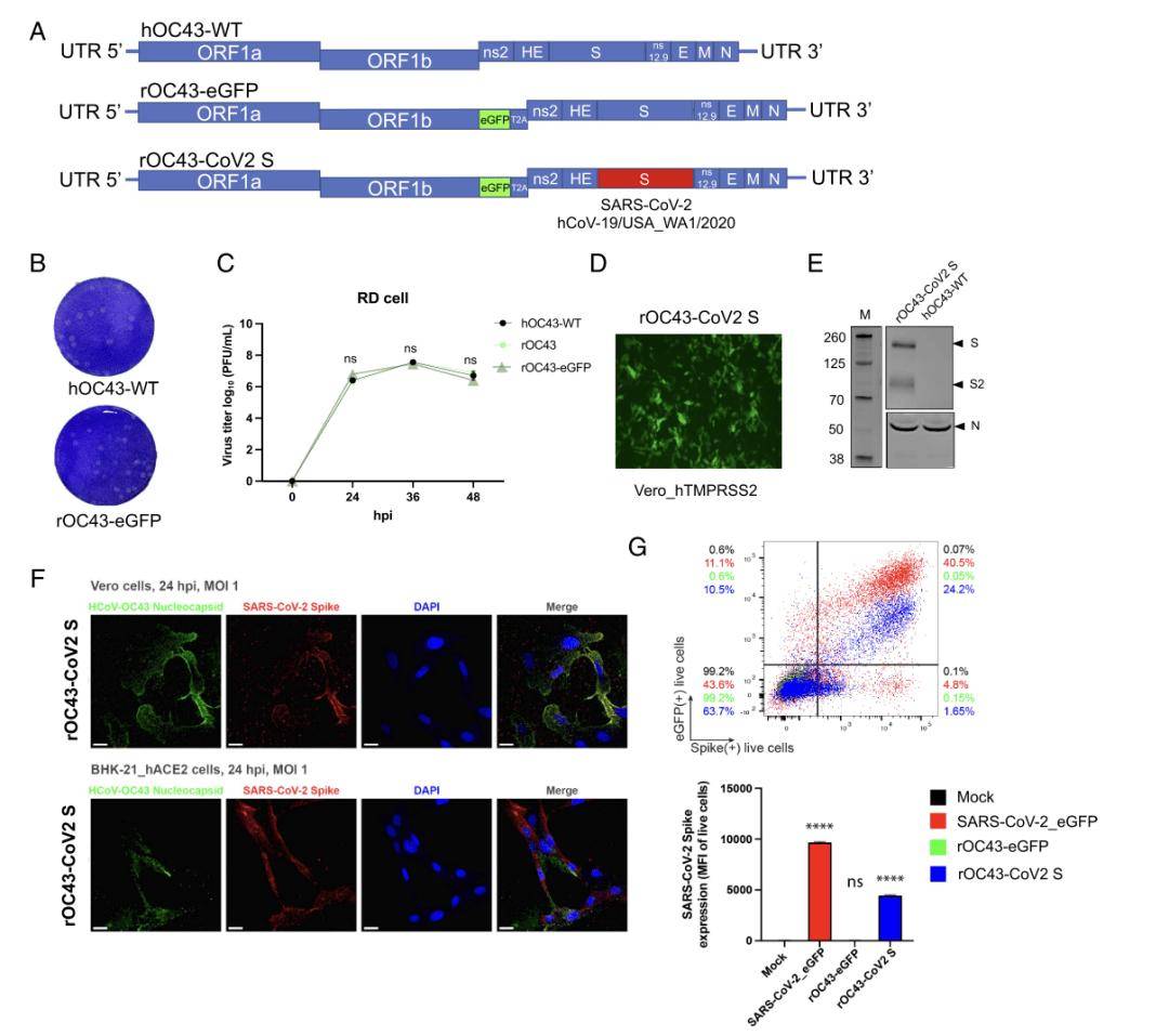
1、可复制重组OC43 病毒的生产
利用环状聚合酶延伸反应(CPER)技术,成功构建了一种重组OC43病毒(rOC43-eGFP),该病毒在ORF1b基因的3'端插入了增强型绿色荧光蛋白(eGFP)报告基因皇冠信用登2代理。再将SARS-CoV-2的Spike基因替换到rOC43-eGFP中,生成了rOC43-CoV2 S病毒。在细胞水平上展现出高度减毒。

展开全文
2、rOC43-CoV2 S对小鼠无致病性
在hACE2转基因小鼠模型中,rOC43-CoV2 S感染的小鼠与对照组小鼠在体重和存活率上没有显著差异,表明该病毒在小鼠中不引起明显的疾病症状皇冠信用登2代理。rOC43-CoV2 S感染的小鼠则未观察到明显的组织病理学变化。

3、rOC43-CoV2 S是一种有前景的减毒活疫苗载体
在小鼠体内皇冠信用登2代理,单剂量的rOC43-CoV2 S鼻内免疫能够诱导产生高滴度的抗SARS-CoV-2中和抗体,并能完全保护小鼠免受SARS-CoV-2的致命攻击

4、rOC43-CoV2 S在恒河猴中诱发强烈的抗SARS-CoV-2 的血清和黏膜抗体
恒河猴接种疫苗后,表现出高度减毒皇冠信用登2代理。并可产生S蛋白特异性的血清和黏膜IgA和IgG抗体反应,能有效中和SARS-CoV-2。


原文链接:
本期编辑:可爱晨
猜你喜欢
- 2025-10-28皇冠足球管理平台出租 _江阴周先生买了300克黄金,结果遭遇了这事!
- 2025-10-28皇冠信用网代理 _冲突背后:为何拉什福德拒绝为亚马尔辩解,他的真实看法竟引发热议?
- 2025-10-28皇冠信用代理流程 _荷兰分析人士:安世半导体事件表明,欧洲夹在中美之间无能为力
- 2025-10-27皇冠信用网代理出租 _特朗普和东南亚稀土协议达成,3国都同意对美国出口稀土,想打破中国的稀土管制?
- 2025-10-27如何申请皇冠信用盘会员 _西甲-姆巴佩破门+失点贝林厄姆建功 皇马2-1胜10人巴萨
- 2025-10-27皇冠信用盘注册开通 _阿森纳百场不败防线背后:英超历史第二支球队的荣耀与挑战
- 2025-10-27皇冠信用網怎么租 _重磅献礼!朝鲜也不藏着掖着了,即将聚首的美日韩,都得好好掂量
- 2025-10-27皇冠信用網怎么租 _上海宣布:与江苏三地市区实现“一码通行”
- 2025-10-27皇冠信用網怎么租 _荷兰飞上海航班飞3小时后又返航 航司称飞机有故障
- 2025-10-26皇冠信用网会员 _海文助攻曼联胜利!不可思议的团队表现背后有哪些秘密?
- 2025-10-26皇冠信用盘登3代理注册 _关于对内蒙古自治区重大决策社会稳定风险评估专家库拟入库人员公示的通知
- 2025-10-26皇冠信用盘登3代理注册 _特朗普主动公布访华行程,并送上一份厚礼!中方的回应,只有9个字,赖清德最害怕的局面出现?



网友评论